Перейти к основному содержанию

Профессиональная гигиена

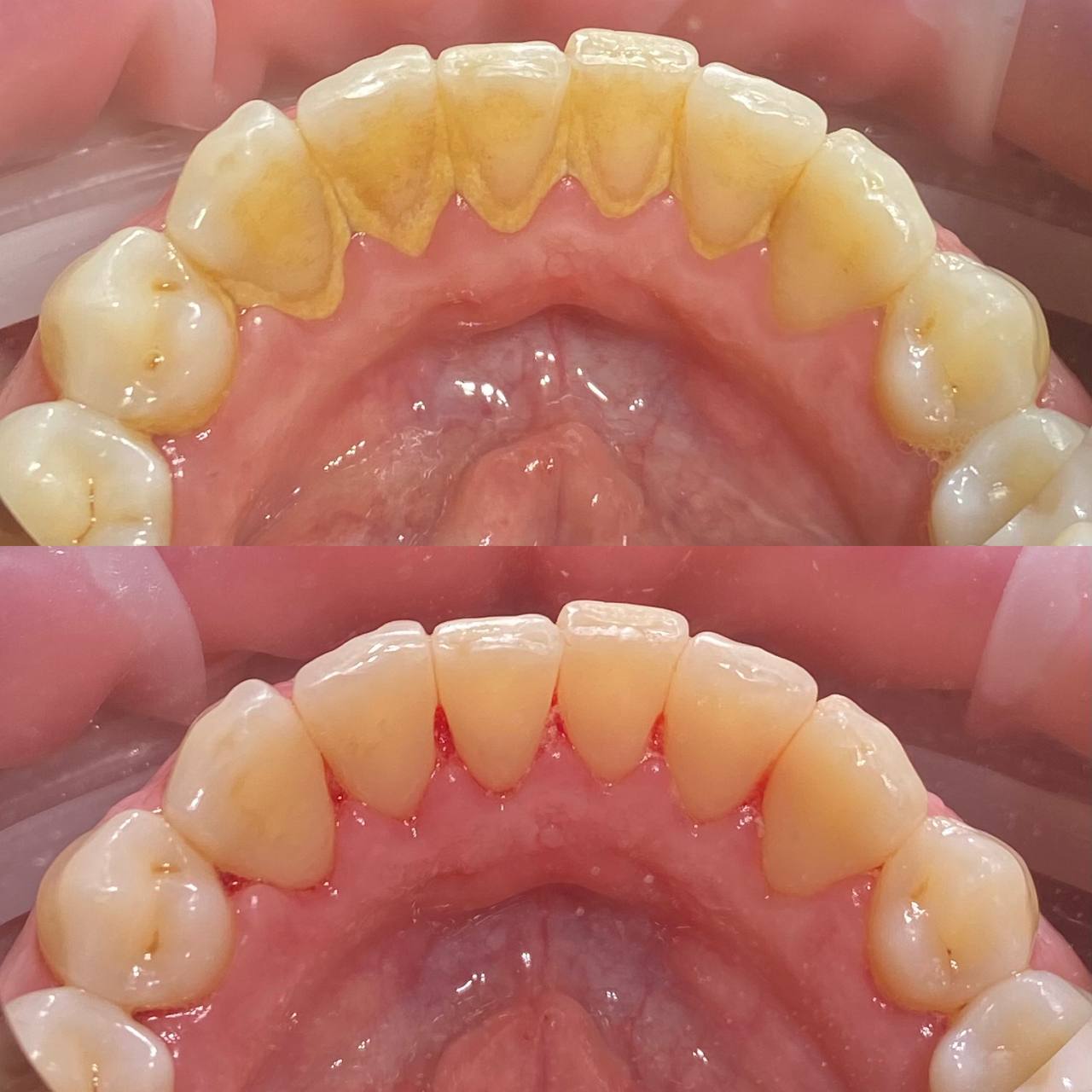
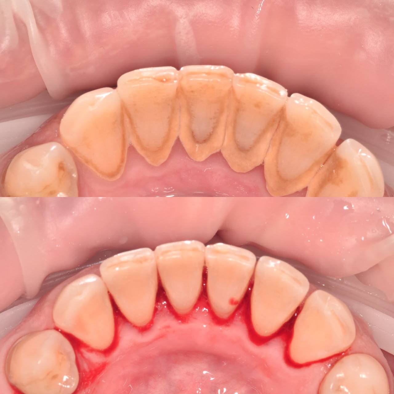
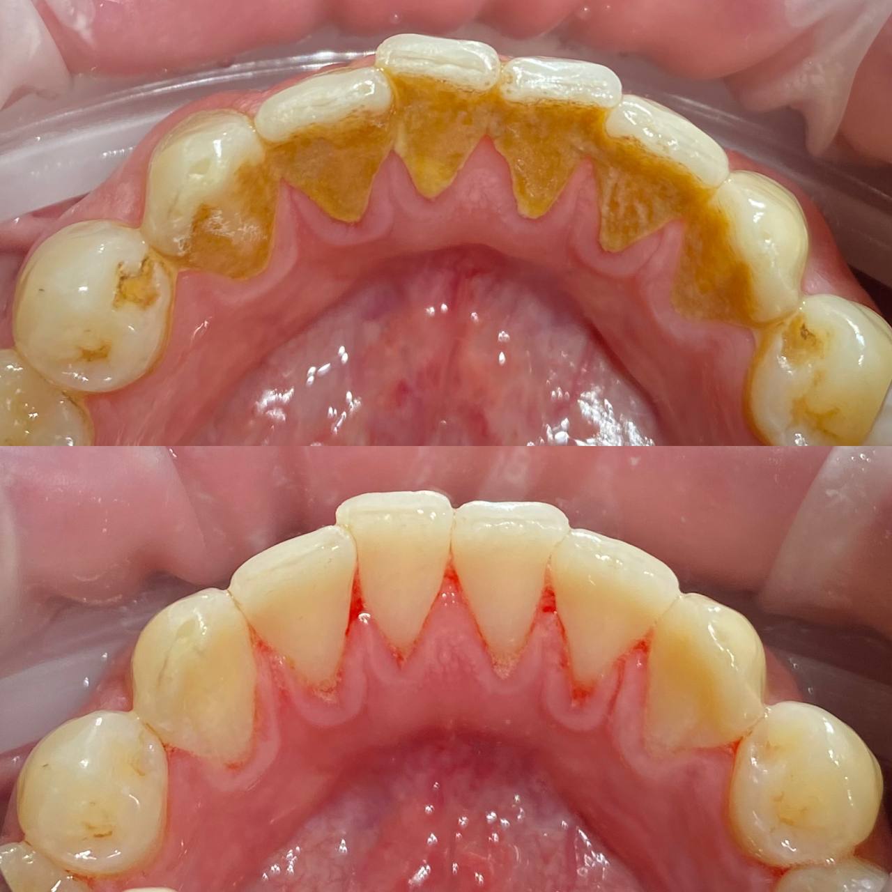
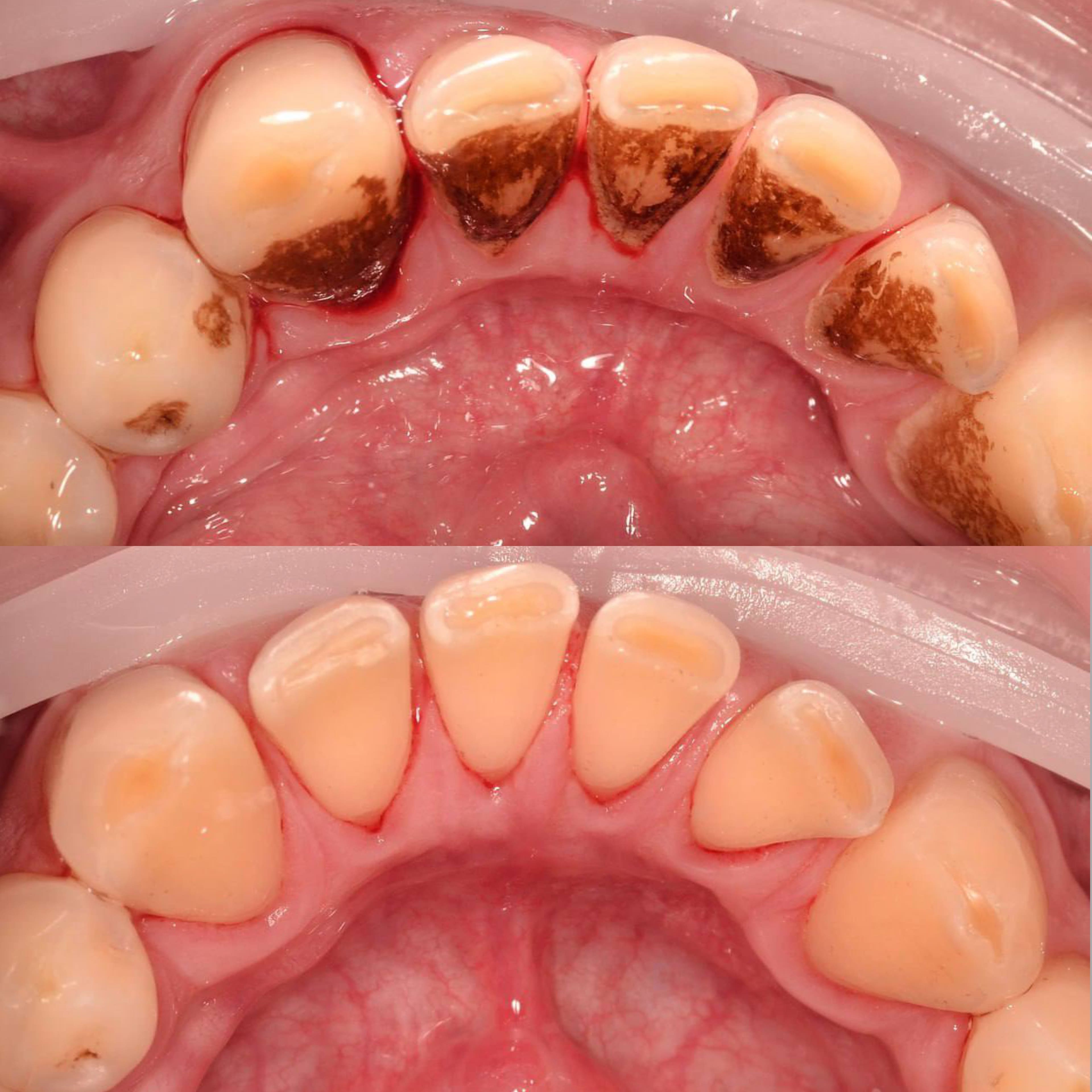
Даже если вы хорошо чистите зубы дома, на зубах со временем скапливается налет. А также на зубах есть труднодоступные места, которое вы не прочищаете. Поэтому нужно приходить на профгигиену в клинику не реже 1 раза в 6 месяцев. Очищение налета, удаление зубного камня, укрепление эмали — все это профессиональная гигиена. На сегодня это лучший способ защитить зубы от кариеса и сохранить десны здоровыми. 

Процесс включает несколько этапов:

  • Удаление зубного камня с помощью ультразвука;
  • Очистка труднодоступных участков с использованием порошкового оборудования Air Flow;
  • Полировка зубов специальными пастами, придающими эмали гладкость и блеск;
  • Завершение процедуры нанесением реминерализующего состава для укрепления зубов.
  • обучение домашней гигиене и подбор средств.
Изображение

Кому нужна профессиональная гигиена чаще, чем раз в 6 месяцев?

  • Тем, кто курит, пьет много кофе или не очень активно ухаживает за зубами дома — не реже 1 раза в 3 месяца.
  • Если вы проходите ортодонтическое лечение — 1 раз в 3 месяца. 
  • Если у вас есть воспалительные заболевания тканей пародонта, то необходимо 1 раз в 3 месяца проводить специальную (поддерживающую) гигиену. Она дополнительно включает в себя воздушно-абразивное полирование поверхности корней.
Запишитесь на консультацию прямо сейчас!

Заполните форму обратной связи и наши специалисты свяжутся с вами в течение 15 минут.

Нажимая кнопку «Отправить», вы соглашаетесь
с политикой конфиденциальности.

фотогалерея

Ваша улыбка уникальна! Вдохновитесь выполненными работами наших врачей.

контакты

Для связи

+7 (905) 622-33-11 citydent71@yandex.ru

г. Тула, проспект Ленина,
дом 142

Время работы:
пн,вс 9:00-15:00, вт - сб 9:00-21:00

Instagram

Telegram

Whatsapp

VK

rutube