Перейти к основному содержанию

Отбеливание

Отбеливание

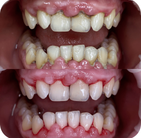
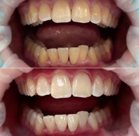
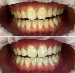
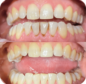
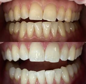
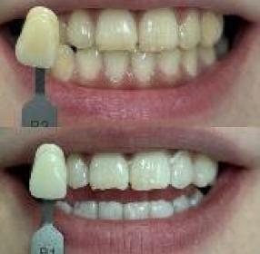
Офисное отбеливание зубов - это процедура осветления зубной эмали, выполняемая в кабинете врача-стоматолога под его контролем. В процессе используются специальные отбеливающие гели, активируемые светом лампы, для удаления пигментов из зубной эмали, что приводит к осветлению. Эта процедура позволяет получить результат за одно посещение.

Клиника Сити Дент предлагает профессиональное отбеливание американской системой Amazing White, которое поможет вернуть вашей улыбке яркость и подарит прекрасное настроение и уверенность.

Процедура проводится под контролем стоматолога в течение 1,5 часов. Используется профессиональный отбеливающий гель Amazing White с 38% концентрацией перекиси водорода. Гель равномерно наносится на поверхность зубов шприцом-дозатором и активируется холодным светом светодиодной лампы. Под действием LED-излучения выделяется активный кислород, который расщепляет въевшиеся в зубную эмаль пищевые красители и пигменты. В завершении процедуры на зубы наносится реминерализующий гель для укрепления эмали и снижения чувствительности.

Изображение

После процедуры повышенная чувствительность зубов может сохраняться 1-3 суток!


ВАЖНО!!!

Перед процедурой отбеливания необходимо провести профессиональную гигиену зубов для удаления налета и камня.


Противопоказания:

  • аллергия на перекись водорода и другие компоненты в составе отбеливающего средства
  • беременность, период лактации
  • наличие молочных зубов
  • онкологические заболевания, хронические заболевания почек, печени и другие
  • гиперестезия зубов (повышенная чувствительность)
  • существенное повреждение эмали (трещины, сколы, эрозии)
  • ортодонтическое лечение (наличие брекетов на зубах)
  • заболевания зубов в острой фазе (кариес, пародонтит и т. д.)


Важно знать!!!

Реставрационные материалы и коронки не отбеливаются, поэтому после окончания процедуры необходимо заново провести реставрацию. Ее можно проводить не ранее чем через 3 недели после офисного отбеливания.


Преимущества отбеливания Amazing White

Данная методика отличается безопасностью и высокой эффективностью. Мы используем только сертифицированные материалы и оборудование, что гарантирует комфорт и минимизацию риска повреждения эмали. Результат сохраняется на длительный срок при соблюдении рекомендаций по уходу.

Запишитесь на консультацию прямо сейчас!

Заполните форму обратной связи и наши специалисты свяжутся с вами в течение 15 минут.

Нажимая кнопку «Отправить», вы соглашаетесь
с политикой конфиденциальности.

контакты

Для связи

+7 (905) 622-33-11 citydent71@yandex.ru

г. Тула, проспект Ленина,
дом 142

Время работы:
пн,вс 9:00-15:00, вт - сб 9:00-21:00

Instagram

Telegram

Whatsapp

VK

rutube